Skip to content
Welch Dental Group
  • Home
  • Katy
  • Cypress
  • Advice
  • Patient Info
  • CALL CYPRESS
  • CALL KATY
  • Cypress
  • Katy
  • Patient Info
  • Call Cypress
  • Call Katy
Previous

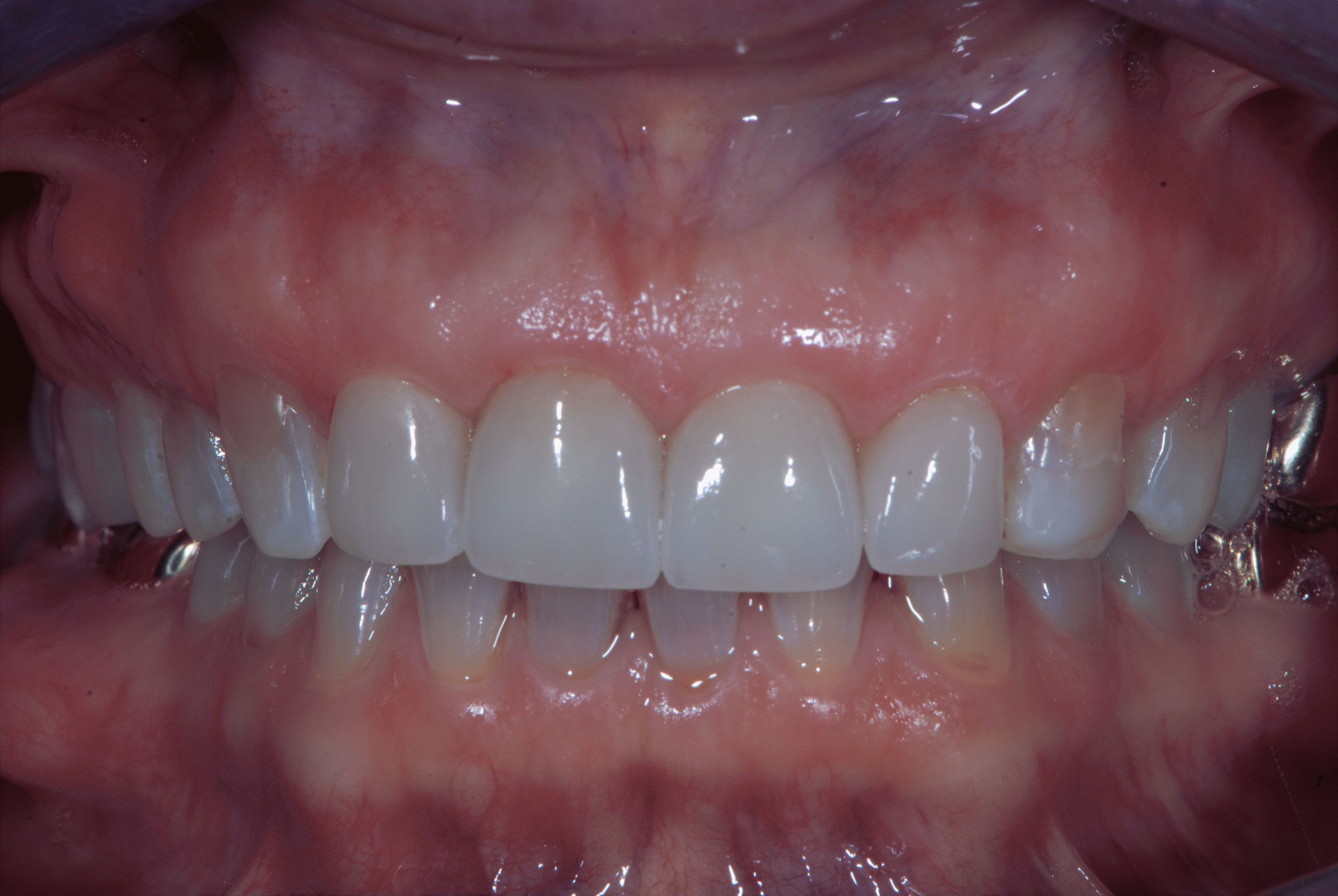
Pre and Post OP Photos of 7-10 Veneers2

ashleigh2017-12-08T16:40:18-06:00

Share This Story, Choose Your Platform!

FacebookXRedditLinkedInWhatsAppTelegramTumblrPinterestVkXingEmail

About the Author: ashleigh

Page load link
Go to Top